Finer Smiles Dental

Smile Gallery

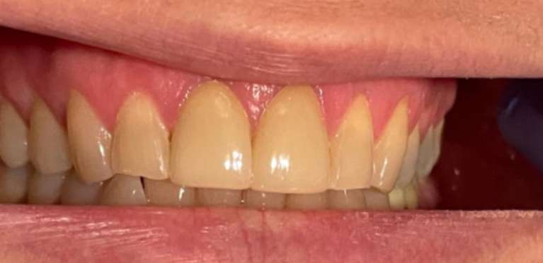
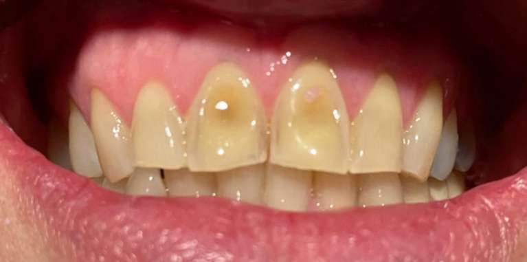
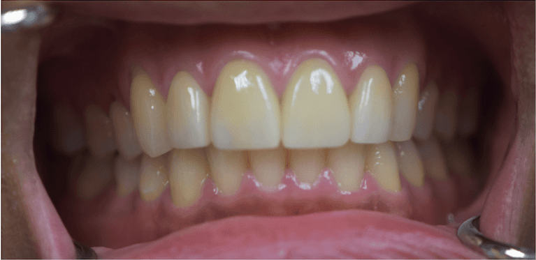
We love changing lives at our dental practice! Take a look at some pictures of our work to see what's possible for your smile.

Are You Ready to Book Your Next Dental Visit?
Smile Gallery Categories
If you have difficulty using our website, please email us or call us at (818) 788-2155
View the ADA Accessibility Statement
Privacy Policy